bioGenous Science Focus
The research team successfully reproduced the three-dimensional structural features and cellular composition of human nasal epithelial cells using the hANOs model developed in this study. This highlights the model's potential for investigating airway epithelial development in both healthy and diseased states, as well as for studying individual and drug responses. Furthermore, the study underscored the crucial role of epithelial-derived matrix metalloproteinases (MMPs) in airway epithelial cell fate determination and tissue polarity. By investigating the impact of MMP activity on the balance between ciliated and goblet cells, it provides a platform for elucidating the intrinsic mechanisms underlying abnormal remodeling during airway epithelial development.
The airway epithelium is crucial for maintaining the balance of the respiratory mucosa. Epithelial dysregulation leads to abnormal remodeling, triggering airway mucosal inflammation. The respiratory epithelium spanning from the paranasal sinuses to the large bronchi is termed the mucociliary epithelium, primarily comprising basal cells, secretory cells (mainly goblet cells), ciliated cells, and extracellular matrix (ECM). Among these, basal cells serve as progenitor cells for both multiciliated and secretory cell populations. The development of airway epithelium involves a series of complex changes in the cellular microenvironment, and interactions between progenitor cells and the ECM have been demonstrated to play a critical role in both epithelial formation and disease pathogenesis. Indeed, during tissue formation in many organ systems, the ECM—particularly collagen—is essential for regulating cellular behavior. The self-assembly/disassembly of the ECM serves as a key regulator of airway epithelial development and remodeling. Moreover, most matrix-based airway organoids are basal-outward oriented, making access to the apical surface challenging. Despite the widespread application of airway organoids in respiratory research, studies utilizing these in vitro organoids to investigate the role and mechanisms of ECM tissue in epithelial growth and differentiation remain limited. This limitation is partly due to the lack of biologically mimetic models capable of reproducing progenitor cell development within the ECM in vitro.

In January 2024, Liyue Li, as first author, published an article titled “Human apical-out nasal organoids reveal an essential role of matrix metalloproteinases in airway epithelial differentiation” in Nature Communications.
The research team developed a novel human ciliated outward-facing nasal organoid (hANO) model system using a hybrid hydrogel system. This revealed that epithelial-derived matrix metalloproteinases (MMPs) are essential for regulating airway epithelium, with subsequent MMP activity linked to the degradation of extracellular matrix (ECM) components such as collagen—a process that determines epithelial polarity(Figure1).
The research team first developed a novel organoid model by by incorporating human nasal epithelial progenitor cells (hNEPCs) isolated from nasal mucosal biopsies of chronic rhinitis patients into a composite hydrogel system (CAH gel). This successfully generated an hANO system capable of maintaining organoid proliferation while differentiating into ciliated or goblet cells that form outward-growing branching structures. The stability and reproducibility of this system were validated using samples from 20 distinct individuals.
Within this system, the gel gradually degrades during hNEPC differentiation, causing the organoid apical surface to face outward. Organoid tissue exhibits branching morphogenesis during the proliferation phase and transitions into spherical structures with beating cilia during the differentiation phase. Additionally, the research team observed that gel degradation during organoid differentiation causes the apical layer to face the lumen. This model reproduces the three-dimensional structural features and cellular composition of human nasal epithelium, laying the foundation for subsequent research(Figure 2).
Matrix metalloproteinases (MMPs) are zinc-dependent proteases responsible for degrading ECM components, including collagen, in numerous tissues. Since collagen assembly and disassembly systems can be regulated by different MMP family members, the research team hypothesized that the degradation observed in the current CAH gel system might be attributable to specific MMPs produced by nasal epithelial cells during differentiation. Therefore, based on prior RNA-seq analysis data, the research team first identified potential MMP candidate genes by examining gene categories associated with ECM organization. They then screened MMP members exhibiting a significant upregulation trend during differentiation based on changes in MMP gene expression levels between the differentiation (D17 and D24) and proliferation (D10) stages: MMP7, MMP9, MMP10, and MMP13. Concurrently, their expression and activity were found to increase during organoid differentiation, accompanied by degradation of the surface gel (Figure 3).
To determine whether hANO differentiation depends on MMP protease activity, the research team cultured organoids in the presence of MMP inhibitors (actin). They found that MMP expression and activity in actin-treated hANOs increased during differentiation, accompanied by degradation of the surface gel. Furthermore, the team found that inhibiting MMP activity reduced organoid cilia formation, leading to abnormal differentiation phenotypes: a relative increase in goblet cell numbers and reduced degradation of the matrix hydrogel. This indicates MMPs play a crucial role in determining the fate of epithelial cells within organ tissues, particularly in regulating the balance between ciliated and goblet cells. Simultaneously, ciliary differentiation of nasal epithelial cells remained MMP-dependent in both ALI (air-liquid interface) and Matrigel culture systems, confirming MMPs' essential role in airway regulation and underscoring that normal airway epithelial differentiation relies on MMP activity (Figure 4).
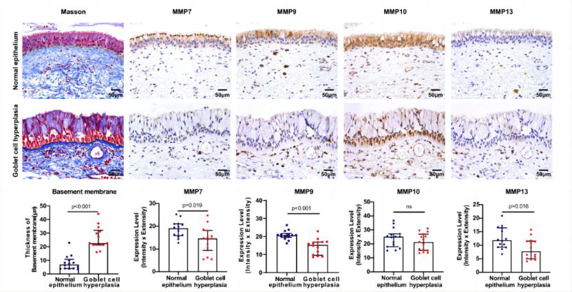
Finally, to investigate whether epithelial-derived MMPs participate in airway mucosal epithelial remodeling, the research team evaluated the expression levels of MMP7, MMP9, MMP10, and MMP13 in normal epithelium (control group) and metaplastic goblet cells through nasal mucosal tissue staining. Results revealed that compared to normal ciliated epithelial cells, goblet-like epithelial cells exhibited decreased expression levels of MMP7, MMP9, and MMP13, consistent with findings from in vitro organoid studies. Additionally, the research team observed increased collagen deposition and thickening of the basement membrane beneath the goblet-like epithelial layer. These findings suggest a potential role for MMPs in the pathogenesis of chronic inflammatory nasal mucosa (Figure 5).
The research team successfully reproduced the three-dimensional structural features and cellular composition of human nasal epithelial cells using the hANOs model developed in this study. This highlights the model's potential for investigating airway epithelial development in both healthy and diseased states, as well as for studying individual and drug responses. Furthermore, the study underscored the critical role of epithelial-derived matrix metalloproteinases (MMPs) in airway epithelial cell fate determination and tissue polarity. By investigating the impact of MMP activity on the balance between ciliated and goblet cells, it provides a platform for elucidating the intrinsic mechanisms underlying airway epithelial development and abnormal remodeling.
Original Link: